矯正
審美歯科矯正歯科


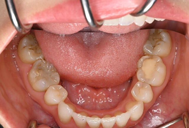
| 来院理由 | 歯並びを治したい |
|---|---|
| 治療期間・回数 | 2年9ヶ月・28回 |
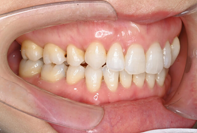
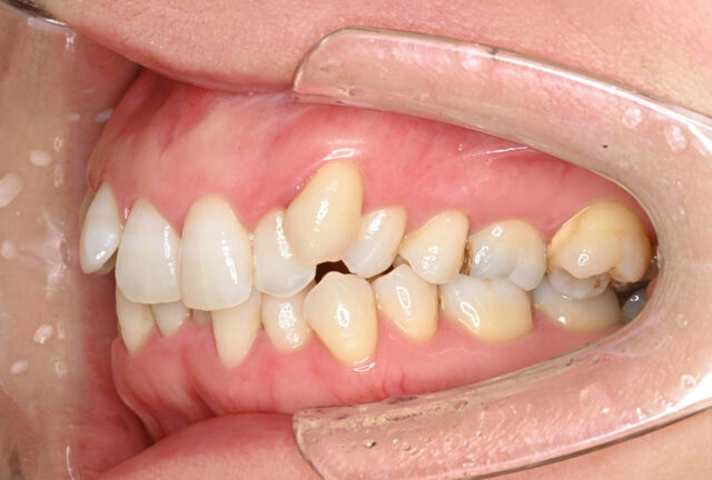
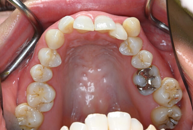
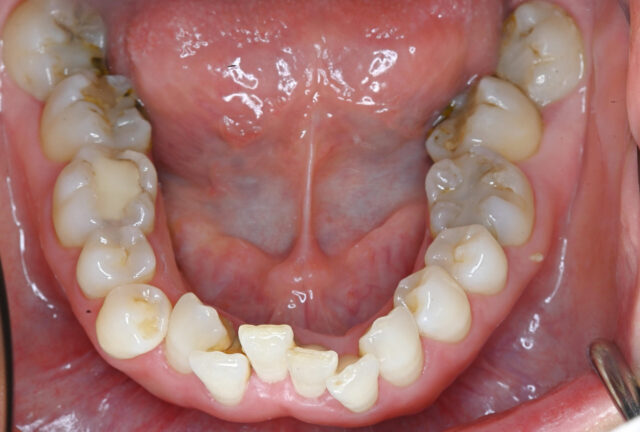
| 治療方法・背景 | 大阪へ引っ越して来られたことを機に、以前から気になっていた歯並びを整えたいとご相談に来られた患者さまです。 美意識が高く、治療後の理想的な口元について明確なイメージをお持ちでした。 治療では、まず拡大装置を用いて歯列の幅を広げ、無理のないスペースを確保しました。 その後、ワイヤー矯正で歯の位置関係を丁寧に整え、仕上げにはマウスピース矯正を取り入れて細やかな最終調整を行いました。 治療後はイメージ通りの口元に大変満足していただき、素敵な笑顔でお過ごしになっています。 |
| 費用 | 矯正検査料:22.000円 矯正診断料:44.000円 成人矯正料金:825.000円 調整料金:154.000円(28回×5500円) -------------------------- 計 1.045.000円 |











