すきっ歯の治療
審美歯科虫歯治療


| 治療期間・回数 | 1回 |
|---|---|
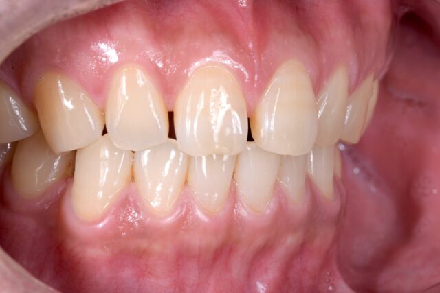
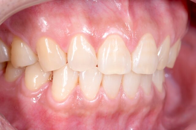
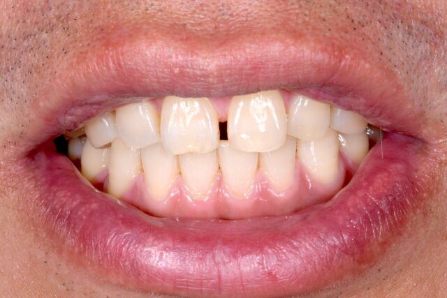
| 治療方法・背景 | お久しぶりの定期健診で来院された患者さまです。 以前から前歯の隙間(すきっ歯)が気になっていたものの、「治療には歯を削る必要がある」と思い込んでおられ、これまで治療に踏み切れずにいたそうです。 今回、歯を削らずにすき間を修復できる“ダイレクトボンディング” についてご説明しました。 ダイレクトボンディングは、歯の表面をわずかに処理したうえで、審美性の高いレジン(コンポジットレジン)を直接接着して形態を整える治療法です。 当院の症例写真をご覧いただいたところ、「是非治療したい」とご決断されました。 治療は1回の来院で終了し、次回の健診では「すきっ歯だったことを忘れるくらい違和感もなく快適です」と嬉しいお言葉をいただきました。 |
| 費用 | レジン充填 44,000円 × 3 --------------------------- 計 132,000円 |
| デメリット・注意点 | ・経年劣化・変色:プラスチック(レジン)が主成分のため、時間とともに着色したり、汚れたりすることがあります。(特にコーヒー・紅茶・タバコの影響を受けやすい)。 ・耐久性の限界:強い衝撃で欠けたり、外れたりする可能性があります。 |





