セラミック治療
セラミック治療審美歯科


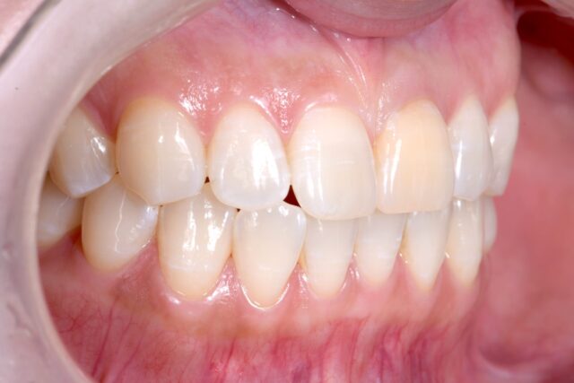
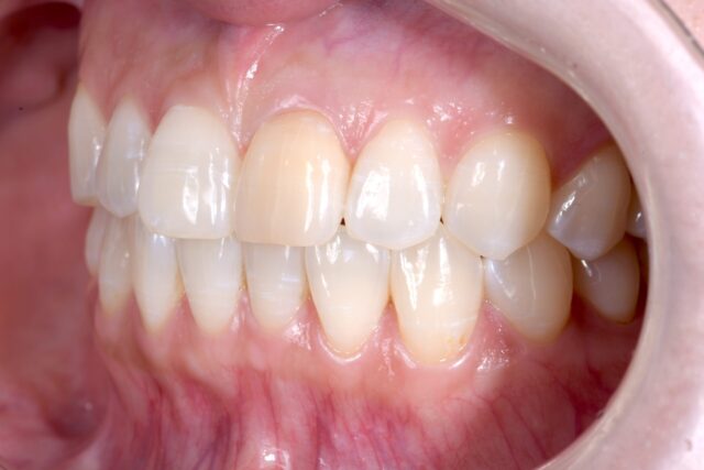
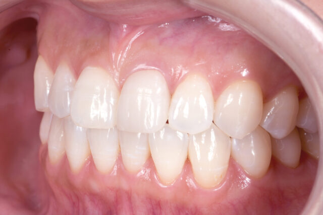
| 来院理由 | 歯の色が気になる |
|---|---|
| 診断名 | 昔に前歯の神経を抜く治療を受けられており、時間の経過とともに歯の色が黄色く変化してきたことを気にされ、来院された患者さまです。 お話を伺うなかで、「今回はしっかりと満足できる状態にしたい」という強いお気持ちが伝わってきました。 治療ではまず、根管治療(神経の治療)をやり直し、長期的に安定した状態を整えました。 その後、ホワイトニングを複数回行い、周囲の歯の色調を丁寧に整えたうえで、セラミックによる修復治療へ進みました。 セラミックの製作では、色調や透明感を何度も微調整し、自然な前歯の質感に近づけるようこだわって仕上げています。 最終的には、ご希望に沿った明るく自然な口元となり、大変ご満足いただける結果となりました。 |
| 治療期間・回数 | 8ヶ月・10回 |
| 費用 | オールセラミックプラス:166,000円 根管治療:44,000円 レジンコア:16,500円 ホームホワイトニング:33,000円 -------------------------- 計 259,500円 |
| デメリット・注意点 | ・セラミックは強い力が加わると欠けたり割れたりすることがあります。 ・経年的に再治療や交換が必要となる場合があります。 ・ホワイトニングはしみることがあり、効果には個人差があります。 ・根管治療を行った歯は、将来的に破折のリスクがあります。 |





